
Good oral hygiene is important for maintaining healthy teeth, a good appearance, and fresh breath. The major cause of tooth loss is gum disease. Effective oral hygiene will help prevent gum diseases and maintain a good smile for life. Teeth cleaning or oral prophylaxis is a preventive dental procedure to save yourself from a number of oral health issues. The bacteria residing in the plaque and tartar are known to cause various health problems including heart diseases.
How do I know if I need a teeth cleaning?
Teeth cleaning (Scaling or Oral Prohylaxis) is a routine dental procedure. We advise our patients for a regular teeth cleaning every 6 months to 1 year. Other than that, anyone with a stained teeth, bad breath or bleeding gums should immediately get a teeth cleaning done. If you are facing any of these conditions, it indicates that you need a teeth cleaning as early as possible.
I brush twice a day, Why do I need to get my teeth cleaned professionally?
Usually despite brushing regularly, the toothbrush is unable to reach some areas of the teeth. In these areas, a hard deposit called calculus (Tartar) is formed. Calculus is the main cause of gum diseases. The toothbrush is unable to remove it hence, professional cleaning (Scaling) is needed to help maintain the gum health, improve the effectiveness of previous gum treatments, and increase the longevity of implants.
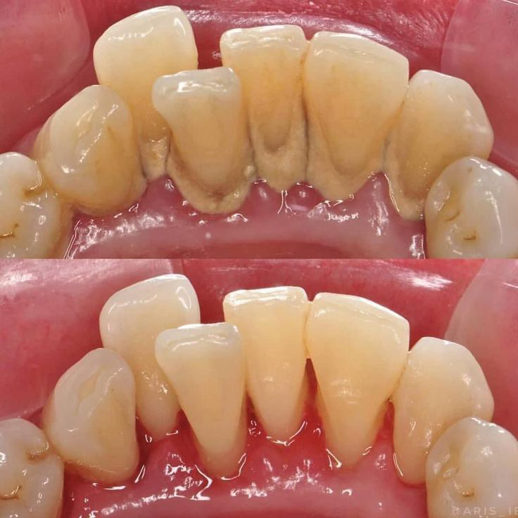
What will happen at the appointment?
We will thoroughly remove all plaque, tartar, and stains from teeth. Your teeth will be polished and you will be taught how to properly brush your teeth to keep your breath fresh and avoid any dental problems.

Does Teeth Cleaning (Scaling) harm teeth?
There is a myth that cleaning teeth cause thinning of teeth or it harms the enamel of teeth or it causes teeth to become mobile. These beliefs are not true. Teeth cleaning is a preventive procedure and does not harm teeth in any way. On the contrary, it helps protect the tooth enamel from harmful bacteria that resides in the tartar.
How much teeth cleaning services cost in Jalandhar?
Teeth cleaning along with prophy polishing and removal of stains starts from ₨ 1-2k.
Why choose Us for getting your teeth cleaned?
Your teeth cleaning is performed by Dr. Isha Sood who is an experienced Gum specialist and who has been providing prominent services such as teeth whitening, teeth polishing and teeth cleaning services in Jalandhar . We use the state of the art Newtron P5 scaler for scaling your teeth . These help clean your teeth comfortably and efficiently.
Visit us today to get your sparkling white smile.
We at Sood Dental Care and Implant Centre are committed to providing you with comprehensive dental solutions for all your dental problems. Schedule your appointment today and take the first step towards a healthier, brighter smile! To make an appointment Call us on +91 9914 066 700





