
Cavities are small holes in the teeth that form after a tooth has become permanently damaged. While cavities may seem like a major dental problem, they can easily be repaired with a dental filling. Nothing gives us more pleasure than being able to conserve your natural teeth and help them remain healthy for life. At Sood Dental Care and Implant Centre, preservation of your natural teeth is our aim. This branch of specialization includes “fillings” in simple terms. Be it a chipped tooth, a decayed tooth or one with an old filling, we have a range of newest and most advanced materials to give you a filling that will help your tooth regain its lost health. Our Dentists will help fill the gap and protect your teeth from further decay.
What is Filling (Dental Restoration)?
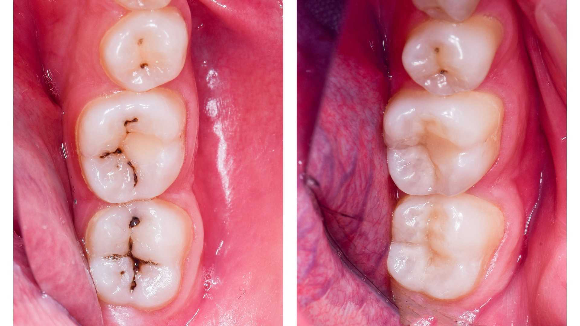
A dental restoration aka dental filling is done to restore the morphology and function of the missing tooth structure, restoring it back to its normal shape, size and structure.
Why do decayed teeth need to be restored?
A tooth is restored to protect the part of remaining tooth surface that has been exposed by the decay or injury. In the front tooth if it is decayed or damaged, the filling will improve the appearance of teeth and face. The restored teeth also helps in better eating and chewing.

What are the types of materials used for restoration?
There are various types of restorative materials used for fillings such as- Silver, bio-compatible cements, and the composite resin. In Our Centre we encourage Mercury- Free practice as the mercury used in Silver fillings has been proved to be a health hazard.
At Sood Dental Care and Implant Centre we mainly use Tooth Coloured Fillings, be it Biocompatible Cements or Composite Resin (aka Laser Fillings in Layman’s terms).These teeth colored filling materials are cosmetic as well as strong to bear the chewing forces. Also the fillings are done under magnification to ensure the cavity is properly sealed and prevent future secondary decays in the tooth.
What should I expect after my restoration is done?
You can eat and drink normal soft food and beverages after 20-30 minutes of restoration. Your tooth will feel as good as new. You might even not be able to see where filling has been done as it looks just like your natural tooth. You might feel a mild sensitivity or discomfort immediately after the restoration, but nothing to worry about, as it subsides on its own within a few hours.
How long does the filling last, and how can I know if I should get it replaced?
A filling lasts 2-10 years, depending upon your oral hygiene, biting forces, chewing habits, saliva consistency, etc.
In any restoration if you see any discoloration, chipping or darkening below the filling u need to get the fillings replaced as these are the first sign of extensive tooth decay.
How can I know my tooth is decayed?
As the tooth starts to decay you might feel few physical symptoms like- food getting stuck in the holes in teeth, you might feel some chipped off areas with your tongue, and there might be some dark spots on the teeth.
When tooth decay starts you may even feel mild sensitivity while eating certain food like sweet, sour or cold and if left untreated it may lead to pain that might last for several hours.
It is important to note that not every tooth that is decayed will be symptomatic, and hence it is important to visit your dentist for a regular check-up before the decay becomes even bigger. Then filling might not be possible, and you may need to get a root canal treatment or extraction done.
I got a tooth coloured filling few months back, and now the tooth has started to pain again, what should I do?
Usually, this doesn’t happen. If the tooth was too decayed, to begin with, then it might be possible that the tooth didn’t heal with a filling and might need a root canal treatment now.
We at Sood Dental Care and Implant Centre are committed to providing you with comprehensive dental solutions for all your dental problems. Schedule your appointment today and take the first step towards a healthier, brighter smile! To make an appointment Call us on +91 9914 066 700





